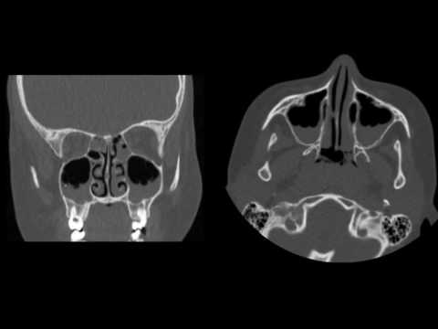
Sinüzit Nedir?

Geri

Sinüzit Nedir?

Bu videoyu paylaşmak için: Yeni eklenen videoları takip etmek için:

ÖNCEKİ VİDEO KONU BAŞLIĞINA DÖN SONRAKİ VİDEO

Bu videoyu puanla

Sosyal Medyada Bizi Takip Edin: